Web Analytics Made Easy - Statcounter
hiatal hernia of the stomach Hiatal hernia / stomach stock vector. illustration of junction

hiatal hernia of the stomach Hiatal hernia / stomach stock vector. illustration of junction

Paraesophageal hernia x ray

If you are looking for Hiatal Hernia Symptoms + 5 Hiatal Hernia Natural Remedies - Dr. Axe you've came to the right page. We have 23 Pics about Hiatal Hernia Symptoms + 5 Hiatal Hernia Natural Remedies - Dr. Axe like Hiatal hernia / stomach stock vector. Illustration of junction - 137762499, Hernia of the Upper Stomach (Hiatal Hernia) | Alaska Hernia Center and also Hiatal Hernia: protrusion of stomach into the chest. Here you go:

Hiatal Hernia Symptoms + 5 Hiatal Hernia Natural Remedies - Dr. Axe

Hiatal Hernia Symptoms + 5 Hiatal Hernia Natural Remedies - Dr. Axe www.pinterest.com

hernia hiatal natural remedies symptoms health hiatus draxe treatment diet valve problems relief treatments factors risk axe dr article women

New Community Features For Google Chat And An Update On Currents

New community features for Google Chat and an update on Currents www.pinterest.com

hernia hiatus repair hiatal surgery choose board

Pin On Health And Nutrition

Pin on Health and nutrition www.pinterest.com

hernia hiatal hiatus causes stomach reflux drjockers treatments disease

Paraesophageal Hernia X Ray

Paraesophageal Hernia X Ray www.animalia-life.club

CT Scan Showing Huge Hiatal Hernia And Upside-down Stomach. | Download

CT scan showing huge hiatal hernia and upside-down stomach. | Download www.researchgate.net

Pin On Diet

Pin on Diet www.pinterest.com

diet hernia hiatal foods menu eat hiatus article

Hiatal Hernia: Protrusion Of Stomach Into The Chest

Hiatal Hernia: protrusion of stomach into the chest www.nirujahealthtech.com

hernia hiatal chest protrusion symptoms pushed backflow caused diaphragm nirujahealthtech

Hernia Stomach Stock Photos, Pictures & Royalty-Free Images - IStock

Hernia Stomach Stock Photos, Pictures & Royalty-Free Images - iStock www.istockphoto.com

Hiatal Hernia Anatomy | Images And Photos Finder

Hiatal Hernia Anatomy | Images and Photos finder www.aiophotoz.com

Hiatal Hernia Hi-res Stock Photography And Images - Alamy

Hiatal hernia hi-res stock photography and images - Alamy www.alamy.com

hernia hiatal stomach human unhealthy hiatus

1 Types Of Hiatal Hernias. (a) Type I-Sliding Hernia. (b)... | Download

1 Types of hiatal hernias. (a) Type I-Sliding hernia. (b)... | Download www.researchgate.net

hernia hiatal paraesophageal types hernias type sliding

Healthy Stomach Hiatal Hernia Infographic Stock Vector (Royalty Free

Healthy Stomach Hiatal Hernia Infographic Stock Vector (Royalty Free www.shutterstock.com

Hiatus Hernia Stomach Image — Stock Vector © Bearsky23@yahoo.com #152944592

Hiatus Hernia Stomach Image — Stock Vector © bearsky23@yahoo.com #152944592 depositphotos.com

hernia hiatus stomach depositphotos

Hernia Of The Upper Stomach (Hiatal Hernia) | Alaska Hernia Center

Hernia of the Upper Stomach (Hiatal Hernia) | Alaska Hernia Center alaskaherniacenter.com

hiatal hernia stomach hernias

Hiatal Hernia / Stomach Stock Vector. Illustration Of Junction - 137762499

Hiatal hernia / stomach stock vector. Illustration of junction - 137762499 www.dreamstime.com

hernia hiatal stomach vector

Vektor Stok Types Esophageal Hiatal Hernia Pink Stomach (Tanpa Royalti

Vektor Stok Types Esophageal Hiatal Hernia Pink Stomach (Tanpa Royalti www.shutterstock.com

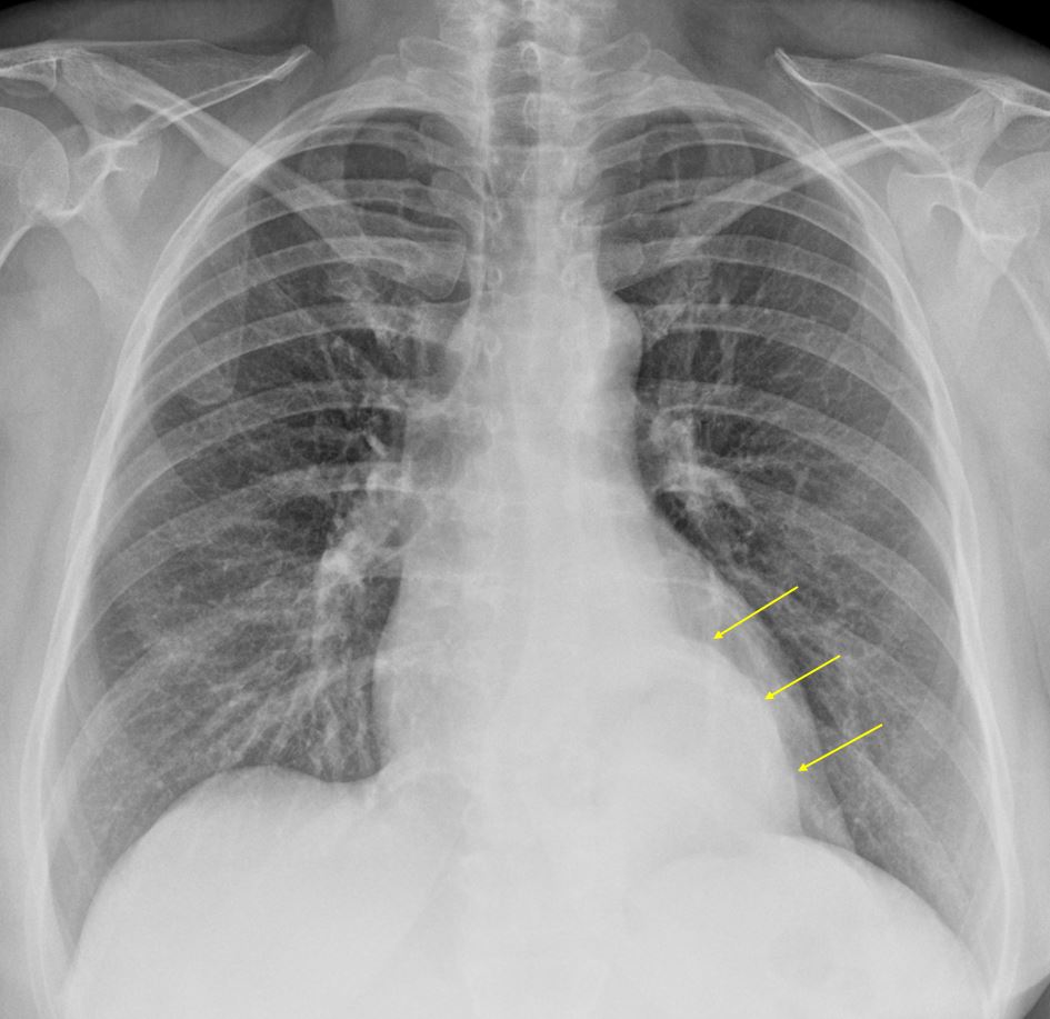
Chest X Ray Hiatal Hernia At Tamie Rowe Blog

Chest X Ray Hiatal Hernia at Tamie Rowe blog dxogbtlhh.blob.core.windows.net

Pin On Lose Weight Fast

Pin on lose weight fast www.pinterest.com

hernia abdominal umbilical inguinal hernias ventral symptoms epigastric binder stomach spigelian femoral surgery braceability recti diastasis incisional fat ultrasound lose

Pin On Med Care

Pin on med care www.pinterest.com

hernia hiatal symptoms treatment causes hiatus choose board strategies support natural heartburn

Hiatal Hernia Treatment Through Chiropractic Care

Hiatal Hernia Treatment Through Chiropractic Care www.mychiro.com.my

hernia hiatal

Pin On Die Healthy

Pin on Die Healthy www.pinterest.com

hernia inguinal abdominal choose board girl

Nissen Fundoplication Weight Loss | Blog Dandk

Nissen Fundoplication Weight Loss | Blog Dandk blog.dandkmotorsports.com

Hiatal Hernia (Stomach Hernia) — Diagnosis And Treatment

Hiatal Hernia (Stomach Hernia) — Diagnosis and Treatment apeartd.blogspot.com

hernia hiatal hiatus ray lateral thorax stomach chest radiograph im diagnosis des license sa cc arrow liquid air treatment mirror

Hernia abdominal umbilical inguinal hernias ventral symptoms epigastric binder stomach spigelian femoral surgery braceability recti diastasis incisional fat ultrasound lose. Hernia of the upper stomach (hiatal hernia). Ct scan showing huge hiatal hernia and upside-down stomach.